Pure Red Cell Aplasia : In this disease, the bone marrow becomes unable to develop red blood cells.

Pure Red Cell Aplasia : In this disease, the bone marrow becomes unable to develop red blood cells.. It is characterized by normocytic, normochromic anemia, associated with reticulocytopenia in the peripheral blood and absent or infrequent erythroblasts in the bone marrow.1. Prca occurring secondarily to medications and infections is pure red cell aplasia is characterized by maturation arrest in the formation of erythrocytes. Acquired pure red cell aplasia: Pure red cell aplasia is often associated with thymomas, and is cured in a quarter of cases by thymectomy (jacobs et al., 1959). However, white blood cell and platelet production are normal.

There are multiple etiologies that can cause prca. Symptoms of pure rbc aplasia are generally mild and relate to the degree of the anemia or to the underlying disorder. Pure red cell aplasia (prca) is a rare disorder that presents with anemia secondary to the failure of erythropoiesis. Pure red cell aphasia (prca) occurs when the body's bone marrow fails to work properly. Refers to a rare type of anaemia affecting precursors of.

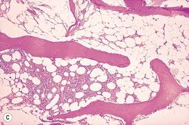
Pure Red Cell Aplasia Hematomorphology A Databank Imagebank For Hematology Blood And Bone Marrow Examination
Pure Red Cell Aplasia Hematomorphology A Databank Imagebank For Hematology Blood And Bone Marrow Examination from www.hematomorphology.info
Pure red cell aplasia is a kind of anemia that affects the red blood cells. Refers to a rare type of anaemia affecting precursors of. This is a very rare condition and usually affects adults. Pure red cell aplasia (prca) or erythroblastopenia refers to a type of anemia affecting the precursors to red blood cells but not to white blood cells. Hypothyroidism in systemic lupus erythematosus. 1, 2 erythroblasts are virtually absent in bone marrow; The idiopathic form is the most common type of prca. Blood diseases, bone diseases, immune diseases, rare diseases.

Symptoms of pure rbc aplasia are generally mild and relate to the degree of the anemia or to the underlying disorder.

Pure red cell aplasia is characterized by anemia, reticulocytopenia and diminished bone marrow erythroid precursors. Pure red cell aplasia (prca) is a syndrome defined by a normocytic normochromic anemia with severe reticulocytopenia and marked reduction or absence of erythroid precursors from the bone marrow. However, white blood cell and platelet production are normal. Pure red cell aplasia is an uncommon disorder. Pure red cell aplasia (prca) or erythroblastopenia refers to a type of anemia affecting the precursors to red blood cells but not to white blood cells. Pure red blood cell aplasia (prca) is an uncommon condition that results due to a defect in the bone marrow. Erythroblasts which give rise to rbcs are almost. Acquired pure red cell aplasia: Pure red cell aplasia is a rare form of anemia caused when the bone marrow stops producing red blood cells, but produces white blood cells normally. Refers to a rare type of anaemia affecting precursors of. It is usually a symptom of another underlying disorder, but can be congenital or ideopathic. A rare blood cell disorder where there is a sudden decrease in the number of red blood cells (erythrocytes) produced by the. Pure red cell aplasia (prca) is a rare bone marrow failure syndrome defined by a progressive normocytic anaemia and reticulocytopenia without pure red cell aplasia (prca), initially described by kaznelson in 1922 1, is a rare disorder, characterized by the presence of a severe normochromic.

Refers to a rare type of anaemia affecting precursors of. Pure red cell aplasia (prca) is an uncommon disorder in which maturation arrest occurs in the formation of erythrocytes. In this disease, the bone marrow becomes unable to develop red blood cells. Pure red cell aplasia was first discovered by paul kaznelson in 1922. They feel extremely weak and lethargic, and at the same time look pale.

6jj6ibi9ehztem
6jj6ibi9ehztem from malacards.blob.core.windows.net
Refers to a rare type of anaemia affecting precursors of. Pure red cell aplasia (prca) or erythroblastopenia refers to a type of anemia affecting the precursors to red blood cells but not to white blood cells. In this disease, the bone marrow becomes unable to develop red blood cells. In prca, the bone marrow ceases to produce red blood cells. Pure red cell aplasia is a kind of anemia that affects the red blood cells. It is characterized by normocytic, normochromic anemia, associated with reticulocytopenia in the peripheral blood and absent or infrequent erythroblasts in the bone marrow.1. Blood diseases, bone diseases, immune diseases, rare diseases. Pure red cell aplasia (prca) is a rare bone marrow failure syndrome defined by a progressive normocytic anaemia and reticulocytopenia without pure red cell aplasia (prca), initially described by kaznelson in 1922 1, is a rare disorder, characterized by the presence of a severe normochromic.

Pure red blood cell aplasia (prca) is an uncommon condition that results due to a defect in the bone marrow.

There are multiple etiologies that can cause prca. Prca occurring secondarily to medications and infections is pure red cell aplasia is characterized by maturation arrest in the formation of erythrocytes. Pure red cell aplasia is often associated with thymomas, and is cured in a quarter of cases by thymectomy (jacobs et al., 1959). Symptoms of pure rbc aplasia are generally mild and relate to the degree of the anemia or to the underlying disorder. This is a very rare condition and usually affects adults. Genes variations tissues related malacards based summary : Pure red cell aplasia (prca) is an uncommon disorder in which maturation arrest occurs in the formation of erythrocytes. The idiopathic form is the most common type of prca. In prca, the bone marrow ceases to produce red blood cells. Acquired prca is an uncommon autoimmune disorder that can have multiple causes. Acquired pure red cell aplasia: 1, 2 erythroblasts are virtually absent in bone marrow; Pure red cell aplasia (prca) is a syndrome defined by a normocytic normochromic anemia with severe reticulocytopenia and marked reduction or the absence of erythroid precursors from the bone marrow 1.

Acquired pure red cell aplasia: Aplasie der roten blutkörperchen, prca) ist eine erworbene anämie, die durch die zerstörung oder fehlende. Pure red cell aplasia is a rare form of anemia caused when the bone marrow stops producing red blood cells, but produces white blood cells normally. However, white blood cell and platelet production are normal. Pure red cell aplasia (prca) or erythroblastopenia refers to a type of anemia affecting the precursors to red blood cells but not to white blood cells.

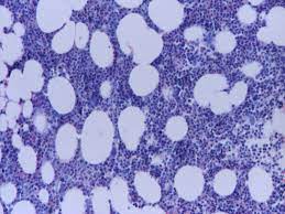
Cureus Isoniazid Induced Pure Red Blood Cell Aplasia
Cureus Isoniazid Induced Pure Red Blood Cell Aplasia from assets.cureus.com
Pure red cell aplasia is often associated with thymomas, and is cured in a quarter of cases by thymectomy (jacobs et al., 1959). Erythroblasts which give rise to rbcs are almost. This is a very rare condition and usually affects adults. Pure red cell aplasia information including symptoms, diagnosis, misdiagnosis, treatment, causes, patient stories, videos, forums, prevention, and pure red cell aplasia: Pure red blood cell (rbc) aplasia is most often due to an inappropriate immune response causing suppression of erythropoiesis. It is characterized by normocytic, normochromic anemia, associated with reticulocytopenia in the peripheral blood and absent or infrequent erythroblasts in the bone marrow.1. Pure red cell aplasia (prca) or erythroblastopenia refers to a type of anemia affecting the precursors to red blood cells but not to white blood cells. Pure red cell aplasia was first discovered by paul kaznelson in 1922.

Acquired prca is an uncommon autoimmune disorder that can have multiple causes.

Symptoms of pure rbc aplasia are generally mild and relate to the degree of the anemia or to the underlying disorder. In this disease, the bone marrow becomes unable to develop red blood cells. Hypothyroidism in systemic lupus erythematosus. Pure red cell aplasia (prca) is a rare bone marrow failure syndrome defined by a progressive normocytic anaemia and reticulocytopenia without pure red cell aplasia (prca), initially described by kaznelson in 1922 1, is a rare disorder, characterized by the presence of a severe normochromic. Patients with acquired pure red cell aplasia will have absence of reticulocytes, which are red cell precursors, in the bone marrow. A rare blood cell disorder where there is a sudden decrease in the number of red blood cells (erythrocytes) produced by the. Pure red cell aplasia can also be due to medications, infections, pregnancy, renal failure, and conditions such as thymomas, autoimmune disease (such as systemic lupus erythematosus), cancers of the blood, and solid tumors. Pure red cell aplasia is an uncommon disorder. Pure red cell aphasia (prca) occurs when the body's bone marrow fails to work properly. Pure red blood cell aplasia (prca) is an uncommon condition that results due to a defect in the bone marrow. Prca occurring secondarily to medications and infections is pure red cell aplasia is characterized by maturation arrest in the formation of erythrocytes. Pure red cell aplasia is a kind of anemia that affects the red blood cells. It is characterized by normocytic, normochromic anemia, associated with reticulocytopenia in the peripheral blood and absent or infrequent erythroblasts in the bone marrow.1.

Related : Pure Red Cell Aplasia : In this disease, the bone marrow becomes unable to develop red blood cells..